Common Orthodontic Problems or Malocclusion

Orthodontic problems can affect anyone, in fact, very few smiles develop perfectly on their own. Malocclusion, or a “bad bite,” can lead to difficulties with chewing, oral hygiene, speech, and overall appearance. Bite issues may be genetic, or they can develop from habits like thumb sucking, dental disease, poor oral hygiene, injuries, birth conditions, or other medical factors.

Understanding the orthodontic concern you or your child may have is the first step toward correcting it. At Stone Oak Orthodontics in San Antonio, TX, Dr. Robert “Tito” Norris, Dr. Robert “Ray” Caesar, and Dr. Maria Duarte provide personalized orthodontic care designed to improve both bite function and smile aesthetics.

Below are some of the most common orthodontic problems we evaluate and treat.

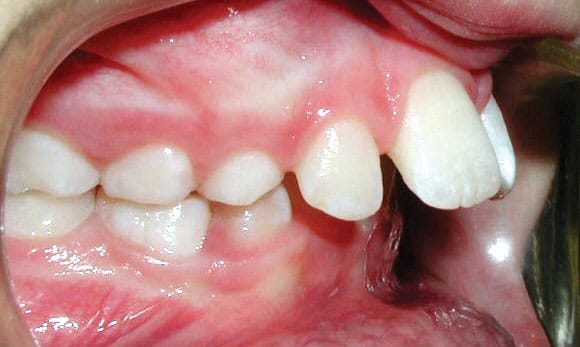
Upper front teeth protrusion orthodontic condition treated at Stone Oak Orthodontics Stone Oak Office and Dominion Office in San Antonio TX

Upper Front Teeth Protrusion

When the upper teeth extend too far forward, or the lower teeth do not extend forward enough, it can affect both appearance and function. This condition may also increase the risk of injury to the upper front teeth. Early evaluation at Stone Oak Orthodontics can help determine the best timing and approach for correction.

Overbite orthodontic condition treated at Stone Oak Orthodontics Stone Oak Office and Dominion Office in San Antonio TX

Overbite

In this case, the upper front teeth overlap the lower front teeth, sometimes so much that the lower teeth bite into the roof of the mouth. Severe overbites can also lead to jaw discomfort or uneven tooth wear. Proper orthodontic treatment can improve bite balance and protect long-term dental health.

Crossbite orthodontic condition treated at Stone Oak Orthodontics Stone Oak Office and Dominion Office in San Antonio TX

Crossbite

A crossbite occurs when the upper teeth sit inside the lower teeth, which may cause jaw misalignment and uneven growth. If left untreated, it can also contribute to uneven wear on the teeth. Addressing a crossbite early can help guide proper jaw development and improve facial symmetry.

Open bite orthodontic condition treated at Stone Oak Orthodontics Stone Oak Office and Dominion Office in San Antonio TX

Openbite

With an open bite, the upper and lower front teeth do not overlap, making chewing difficult. It may also contribute to habits like tongue thrusting. Speech difficulties are also commonly linked to open bites. Orthodontic correction can help restore proper function and improve overall bite stability.

Crowding orthodontic condition treated at Stone Oak Orthodontics Stone Oak Office and Dominion Office in San Antonio TX

Crowding

When there isn’t enough room in the mouth for teeth to properly erupt, crowding occurs. Often, this can be corrected with orthodontic expansion, avoiding the need for extractions. Crowding may also make it harder to properly clean teeth, leading to oral health issues. Treatment can create the space needed for healthier alignment and easier maintenance.

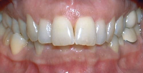
Spacing orthodontic condition treated at Stone Oak Orthodontics Stone Oak Office and Dominion Office in San Antonio TX

Spacing

Gaps between teeth may be caused by missing teeth or may simply be cosmetic in nature, affecting the overall look of the smile. Orthodontic treatment can help close these spaces for a more uniform appearance. Correcting spacing can also improve bite function and support better gum health.

Underbite orthodontic condition treated at Stone Oak Orthodontics Stone Oak Office and Dominion Office in San Antonio TX

Underbite

In an underbite, the lower jaw extends beyond the upper jaw, causing the lower front teeth to sit in front of the upper front teeth. This condition can sometimes lead to difficulties with chewing or speaking. Early diagnosis at Stone Oak Orthodontics can help determine whether growth guidance or comprehensive treatment is recommended.